Dentist in CHENNAI | KOLKATA — BRACES | INVISALIGN | IMPLANT

Dental VENEERS | teeth WHITENING | Tooth coloured FILLINGS

Cosmetic | Smile designing

We provide cosmetic reconstruction of your lost smile.

What is cosmetic dentistry?

Cosmetic dentistry improves the aesthetic value of your smile. With the help of tooth whitening (bleaching), smile designing, porcelain veneers and tooth coloured composite fillings; we alter the colour, shape and size of teeth according to individual smile requirements. Final result is a pleasing and beautiful smile at Gupta Dental Clinic.

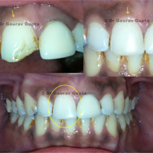
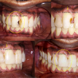
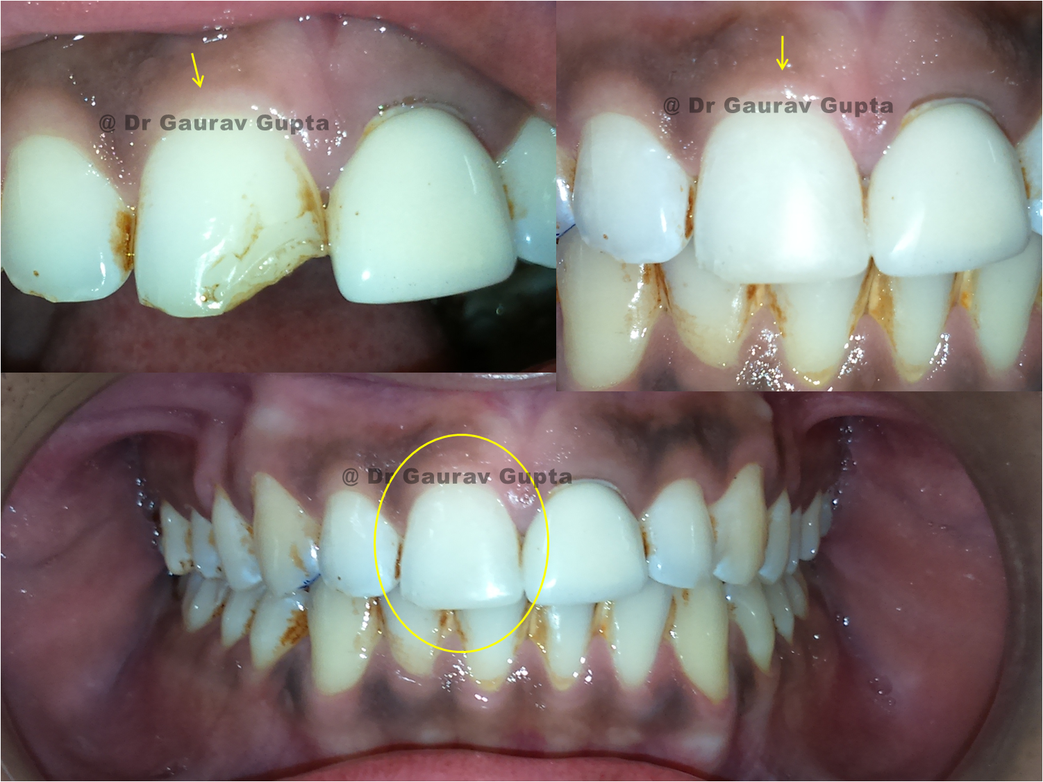
Smile designing with Dental Veneers

Dental veneers used to close space between upper teeth and brighten teeth colour-Before after.

Dental bleaching for brightening colour of teeth

Gupta Dental – Cosmetic gallery

Get a beautiful smile make over.

Address:

4A/1 & 4A/2, PVK Tower, 1st Main Rd, MMDA Colony, Maduravoyal, Chennai-600095.

Landmark: Near EB Office Madurayoyal, Indian Bank.

Phone Number:
Email:
Social Links:
Address:

P-22, VIP Road, Scheme VII-M, Kankurgachi, Kolkata-700054

Landmark: Opp Kankurgachi fire-station

Phone Number:
Email:
Social Links:

Powered by Axiom Designs. © Gupta Dental Clinic. All rights reserved.